CORSO DI PROTESI DIGITALE

  • ECM:
    Crediti E.C.M per Odontoiatri: 50
  • DATA:
    Dal 19/02/2026 Al 27/06/2026
  • LUOGO:
    Laboratorio Accioli & Puccini S.r.l.
    Via Lungo L'Ema, 23, 50012 Firenze FI
  • DOWNLOAD:
    Scarica la brochure del corso

PER ULTERIORI INFO CONTATTARE
Tel 050 8054968 - info@pierreservice.it

Le iscrizioni online sono momentaneamente disattivate: si prega di scaricare il modulo allegato ed inviarlo via mail a info@pierreservice.it
CORSO DI PROTESI DIGITALE

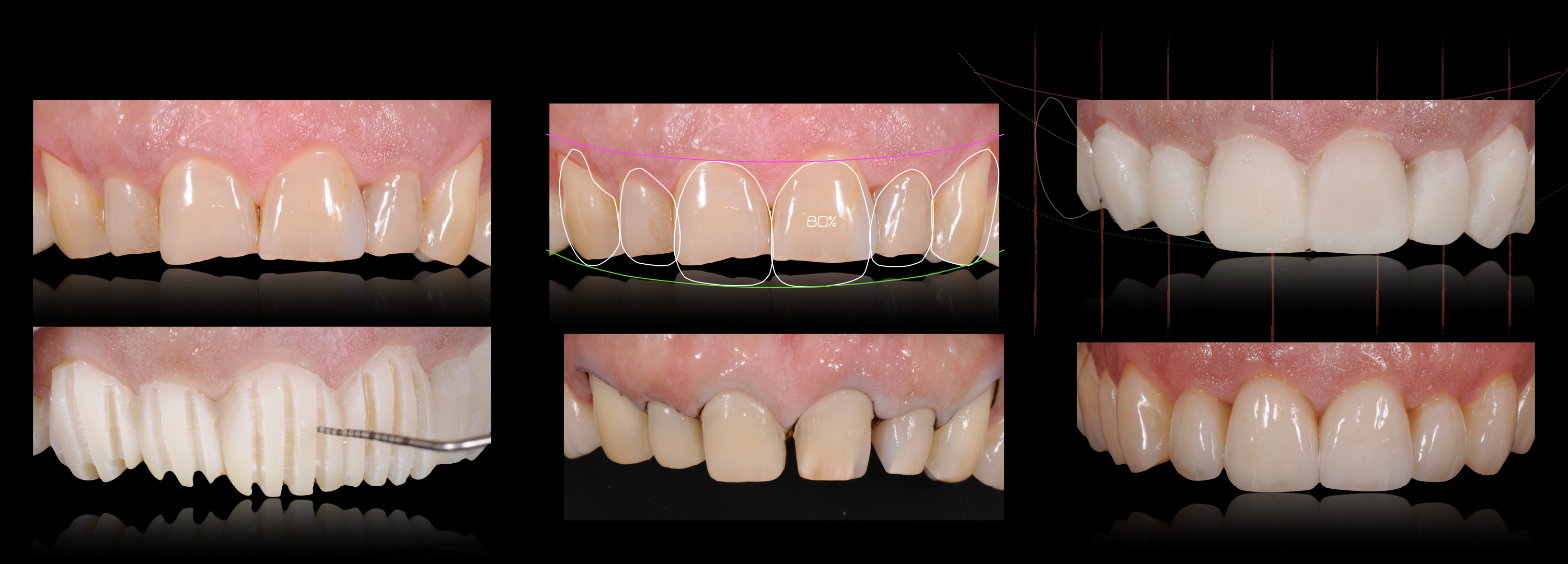
L’obiettivo di questo percorso sarà dunque guidare il corsista ad avere il controllo di tecniche, strumenti e alberi decisionali che gli permettano di affrontare il trattamento del paziente con serenità e padronanza. Verranno pertanto descritti i workflows protesici sia dal punto di vista estetico, funzionale che di gestione dei tessuti molli. Particolare attenzione sarà dedicata alla parte pratica con un approccio one to one al corsista che permetta di sviluppare al meglio l’apprendimento e la messa in opera di tutte le tematiche proposte.

ABSTRACT

L'implementazione delle nuove tecnologie digitali nella pratica quotidiana
ha ampliato il ventaglio delle possibilità nella gestione dei trattamenti
protesici. Sempre di più la tecnica, il materiale o lo strumento vengono
considerati come la parte più importante per il successo della terapia,
dimenticando quanto invece sia determinante il ruolo del protesista. Non
solo deve essere un buon esecutore, ma deve inquadrare il paziente dal
punto di vista diagnostico, comunicare con lui in maniera semplice ed
efficace, proporgli dei trattamenti con la minor invasività ma duraturi nel
tempo e motivarlo ad un corretto mantenimento quotidiano. Oltre a
questo deve essere la guida, il riferimento di un team di specialisti che lo
aiutino ad ottenere un trattamento interdisciplinare di eccellenza, anche e
soprattutto nella quotidianità.

I RELATORI
DOTT. ANTONELLO APPIANI
DOTT. ANTONELLO APPIANI
CONTINUA
Odt. STEFANO LOGRANO
Odt. STEFANO LOGRANO
CONTINUA
Dott. PAOLO SCATTARELLI
CONTINUA