Concetti generali sulla protesi su elementi naturali e implantari

  • ECM:
    Crediti E.C.M. per Odontoiatri: 5.00
  • DATA:
    Dal 13/09/2025 09:00 Al 13/09/2025 14:00
  • LUOGO:
    Complesso Monumentale di San Micheletto
    Via San Micheletto, 3 Lucca
  • QUOTA PARTECIPAZIONE:
    50.00€ Quota d'iscrizione socio Andi
    122.00€ Quota d'iscrizione Non socio Andi iva inclusa
  • MODALITÁ:

    Quota d'iscrizione Odontotecnico: 61,00 iva inclusa

    Il pagamento da socio ANDI deve essere effettuato dal conto del socio andi con bonifico bancario a: Andi Sez. Prov. di Pisa
    IBAN: IT 89 R0503414011000000245144 - Causale: “Evento + Nome del partecipante”

     

    Il pagamento da non socio ANDI/Odontotecnico deve essere effettuato con bonifico bancario a: PiErre Service srl Unipersonale BPER -
    IBAN IT 14 N 0538713704000048011233 - Causale: “Evento + Nome del partecipante”

  • DOWNLOAD:
    Scarica la brochure del corso
    Scarica la scheda d'iscrizione da SOCIO ANDI
    Scarica la scheda d'iscrizione da NON SOCIO ANDI/ODONTOTECNICO
Concetti generali sulla protesi su elementi naturali e implantari

Prof. Loris Prosper & Odt. Paolo Pagliari



Quali requisiti deve possedere l’Odontoiatra per soddisfare la richiesta di un bel sorriso?  Indicazioni cliniche e protocolli tecnici

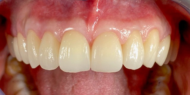
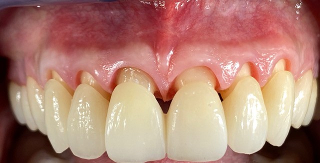
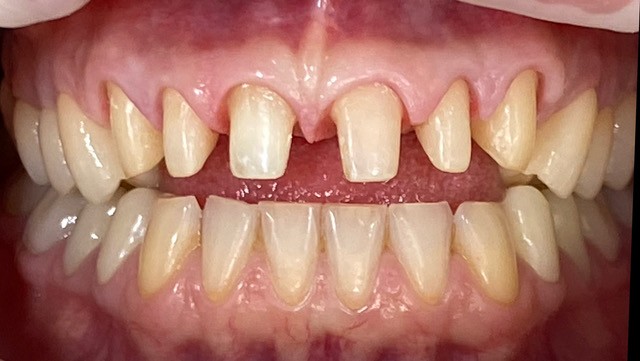
La morfologia della preparazione su dente naturale è uno dei major topics della protesi. Ancora oggi si dibatte su quale disegno marginale, sia da preferirsi. Spesso le scuole protesiche hanno preferito insegnare più l’aspetto tecnico del disegno marginale, piuttosto che utilizzare il morfotipo gengivale come guida per la preparazione. Verranno presentati in anteprima i risultati di uno studio in vivo che mira ad analizzare l’importanza della precisione della chiusura marginale sull’outcome a lungo termine di riabilitazione protesiche su dente naturale. L’analisi dei casi è stata divisa in base al tipo di materiale utilizzato per la realizzazione delle corone. La variabile misurata è stata la conservazione della salute parodontale e l’estetica rosa nel tempo, in relazione alla precisione delle chiusure, ma soprattutto lo sviluppo della tecnica del Gingitage di Rex Inghram e l’importanza della marginatura dei provvisori secondo la tecnica di Sidny Wagman pubblicata la prima volta nel 1965! Inoltre, verrà presentata la tecnica F.A.P. creata appositamente per abbracciare qualsiasi tipologia di preparazione. Con gli stessi protocolli, verranno chiariti tutti gli aspetti di implantoprotesi, soprattutto soluzioni nei casi implantari in zone ad alta valenza estetica. Sottolineando l’importanza di protesi con la tecnologia in Carbonio Forgiato.

I RELATORI
Prof. LORIS PROSPER
Prof. LORIS PROSPER
CONTINUA